¿Qué es la conectividad cerebral?
En los últimos años, el término "conectividad cerebral" se ha vuelto cada vez más popular y aparece frecuentemente en artículos divulgativos sobre neurociencias. Sin embargo, a menudo se tiene solo una vaga idea de lo que realmente significa este concepto, cuáles son los procesos biológicos subyacentes y de qué manera el estudio de la conectividad cerebral puede ayudarnos a comprender mejor el funcionamiento de nuestro cerebro, tanto en condiciones fisiológicas normales como patológicas.
Para adentrarnos en la cuestión de la conectividad cerebral en este artículo, contamos con el conocimiento y la experiencia de Raffaele Cacciaglia, Doctor en Neurociencias e investigador del Barcelonaβeta Research Center (BBRC), centro de investigación de la Fundación Pasqual Maragall. Además, forma parte y es docente del Grupo de Investigación en Neurociencia Cognitiva (BrainLab) de la Universidad de Barcelona. Las líneas de investigación del Dr. Cacciaglia están relacionadas con la conectividad cerebral estructural y funcional y su relación con los biomarcadores de la enfermedad de Alzheimer.
Analizar estos mecanismos cerebrales subyacentes en las primeras fases del Alzheimer es esencial, pues abre la puerta al diseño de intervenciones terapéuticas eficientes para retrasar o prevenir la enfermedad.
¿Qué se entiende por conectividad cerebral?
Desde el punto de vista didáctico, la conectividad cerebral es el objeto de estudio de una disciplina, llamada conectómica, una rama de las neurociencias, en particular del campo de la neuroimagen. Esta disciplina analiza el cerebro humano desde el punto de vista de las conexiones entre sus diferentes áreas, identificando así la presencia de redes neuronales. Sin embargo, es importante destacar que la conectómica no es exclusiva de las neurociencias, sino que se aplica a cualquier disciplina que estudie sistemas complejos cuyos elementos muestren interconexiones, como la biología, la genética, la sociología o incluso la urbanística.
Para comprender plenamente el concepto de conectividad cerebral, es necesario considerar que el cerebro, no solo el humano, es el órgano más complejo existente y, en términos generales, el sistema más complejo que podemos estudiar. Esta complejidad deriva de múltiples factores, entre los que se incluye el hecho de que está compuesto por células que forman áreas cerebrales interconectadas. Haciendo todo aún más complicado, hay que considerar que estas conexiones no son estáticas, sino que se modifican en función de procesos inmediatos, como la ejecución de tareas complejas, y de procesos a largo plazo, como el desarrollo cerebral y el envejecimiento.
Para explicar la conectividad a sus estudiantes, el Dr. Cacciaglia suele utilizar la metáfora de la red del metro de Barcelona, o de cualquier otra gran ciudad. Observando esta red, nos damos cuenta de que está compuesta por diferentes estaciones, donde las personas pueden subir o bajar, y por conexiones entre las propias estaciones.
Para que la ciudad de Barcelona funcione de manera eficiente, es esencial que la red de metro esté coordinada y sea rápida y segura. De la misma manera, el cerebro funciona a través de una red de áreas cerebrales interconectadas, garantizando que la información se distribuya de manera efectiva a los centros encargados de su procesamiento.
Tipos de conectividad cerebral
La conectividad cerebral puede estudiarse a diferentes escalas. Por ejemplo, se pueden analizar las conexiones entre neuronas individuales o entre regiones cerebrales. Sin embargo, la definición de estas regiones es a menudo arbitraria: el cerebro puede dividirse en 10, 20, 45 o incluso 300 regiones, y estos números son puramente aleatorios, variando según el criterio utilizado para generar el mapa de conectividad. Si adoptamos criterios puramente morfológicos, obtendremos ciertos mapas, mientras que criterios funcionales, basados en las actividades realizadas por diferentes poblaciones neuronales, producirán otros.
Existen diversos tipos de conectividad cerebral:
1. Conectividad estructural
Es la forma más intuitiva y se basa en la existencia de conexiones físicas entre neuronas o áreas cerebrales, realizadas a través de haces de fibras nerviosas: los axones. Los axones constituyen la sustancia blanca del cerebro y son responsables del transporte de la información cerebral, exactamente como las conexiones entre estaciones en una red de metro.
Los estudios sobre esta conectividad han llevado a la identificación de verdaderos fascículos de sustancia blanca, entre los que se encuentran:
- El cuerpo calloso, que conecta los dos hemisferios cerebrales y respalda la comunicación entre ellos.
- El fascículo arqueado, que conecta el área de Broca y el área de Wernicke, dos áreas cruciales para la producción y comprensión del lenguaje, respectivamente.
- El fascículo longitudinal superior, que conecta los lóbulos frontal, parietal y occipital, apoyando funciones cognitivas complejas como la planificación motora, la atención y la coordinación visoespacial.
2. Conectividad funcional
A diferencia de la estructural, no requiere una conexión física y directa entre regiones cerebrales. Se basa en la coactivación de múltiples regiones durante la ejecución de tareas específicas. Entre las principales redes funcionales identificadas se encuentran:
- La red neuronal por defecto (en inglés, default mode network, DMN), que está implicada en la autorreferencialidad o capacidad de introspección, la memoria autobiográfica y la planificación del futuro.
- La red frontoparietal, esencial para el control ejecutivo y la adaptación cognitiva.
- La red de atención dorsal, que gestiona la atención sostenida y voluntaria.
- La red de atención ventral, que detecta estímulos inesperados o relevantes en el entorno.
Uno de los descubrimientos más fascinantes en el campo de la neurociencia en los últimos 20 años es que estas redes funcionales también se activan en estado de reposo, indicando así que el cerebro está configurado para realizar sus actividades coordinando y orquestando todas las áreas que lo componen. La Figura 1 muestra las principales redes funcionales en estado de reposo.

Figura 1. Principales tractos de sustancia blanca medidos mediante tractografía derivada de imágenes ponderadas por difusión (DWI). Fuente: Perino et al. (2021).
¿Cómo se mide la conectividad cerebral?
La conectividad cerebral puede medirse in vivo mediante técnicas de neuroimagen no invasivas, como:
-
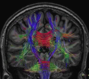
Imagen potenciada en difusión (en inglés, diffusion weighted imaging, DWI). Es una técnica utilizada para estudiar la conectividad estructural a través de la resonancia magnética ponderada por difusión. Esta secuencia de resonancia magnética permite detectar la orientación de las fibras de sustancia blanca, los axones descritos anteriormente, gracias a la medición de la difusión de las moléculas de agua dentro del cerebro. En algunos casos específicos, y según las hipótesis experimentales, es posible identificar redes estructurales incluso con imágenes T1, las más convencionales, también mediante resonancia magnética. Podemos ver una muestra de imágenes derivadas de la técnica DWI en la Figura 2.

Figura 2. Principales tractos de sustancia blanca medidos mediante tractografía derivada de imágenes ponderadas por difusión (DWI). Fuente: BBRC. -
Resonancia magnética funcional (fMRI), electroencefalografía (EEG) o magnetoencefalografía (MEG). Las tres son herramientas ideales para estudiar la conectividad funcional, analizando la actividad cerebral coordinada entre regiones a lo largo del tiempo.
Relevancia del estudio de la conectividad cerebral en la investigación del Alzheimer
La conectividad cerebral es crucial para el funcionamiento cognitivo. Muchos estudios han demostrado que la salud de las redes cerebrales afecta la memoria, las funciones ejecutivas y el aprendizaje. Numerosas evidencias indican que el estudio de la conectividad cerebral es relevante para avanzar en el conocimiento sobre la enfermedad de Alzheimer:
-
Las personas con demencia debida al Alzheimer presentan alteraciones significativas en las redes funcionales y estructurales, especialmente en la red neuronal por defecto (DMN).
-
Estas alteraciones también son evidentes en personas cognitivamente sanas con alteraciones fisiopatológicas típicas del Alzheimer (elevada presencia de proteínas amiloide y tau).
-
Las áreas cerebrales que acumulan amiloide son las mismas áreas de la DMN.
-
La propagación de la patología tau sigue las conexiones estructurales intrínsecas del cerebro.
-
Se ha observado que, en presencia de la enfermedad de Alzheimer, una adecuada reorganización cerebral en respuesta a la patología puede respaldar durante muchos años un rendimiento cognitivo satisfactorio.
¿Cómo mantener el cerebro en forma?
Mantener las redes neuronales en forma y, así, la conectividad cerebral en óptimas condiciones requiere un enfoque holístico que involucre cuerpo y mente:
- El ejercicio físico regular, como caminar, correr o practicar yoga, mejora la circulación sanguínea y favorece la salud cerebral.
- Una dieta equilibrada, rica en frutas, verduras, pescado y grasas saludables, aporta al cerebro nutrientes esenciales.
- Dormir lo suficiente y bien es crucial: el sueño ayuda a consolidar las conexiones neuronales y a eliminar las toxinas acumuladas en el cerebro.
- Estimular la mente con lectura, juegos de lógica o que nos requieran cierto esfuerzo mental, aprendizaje de nuevas habilidades o idiomas fortalece las conexiones cerebrales.
- Socializar también es importante, ya que interactuar con otros promueve la plasticidad cerebral y reduce el riesgo de deterioro cognitivo.
- Reducir el estrés mediante la meditación, el mindfulness o técnicas de relajación protege al cerebro de los efectos negativos del cortisol, una hormona dañina a largo plazo.
- Evitar hábitos nocivos, como fumar o consumir alcohol en exceso, previene daños estructurales y funcionales en el cerebro.
- Finalmente, controles médicos regulares para monitorear la presión arterial, el colesterol y los niveles de azúcar en la sangre pueden prevenir problemas cardiovasculares que afectan negativamente al cerebro. Un cerebro activo y estimulado es la mejor inversión para un envejecimiento saludable.
Este artículo ha sido elaborado por el equipo editorial del Blog Hablemos del Alzheimer de la Fundación Pasqual Maragall.
Referencias de interés
- Cacciaglia R, Molinuevo JL, Falcon C, Arenaza-Urquijo EM, Sanchez-Benavides G, Brugulat-Serrat A, Blennow K, Zetterberg H, Gispert JD, study A (2020). APOE-epsilon4 Shapes the Cerebral Organization in Cognitively Intact Individuals as Reflected by Structural Gray Matter Networks. Cereb Cortex 30:4110-4120.
- Cacciaglia R, Operto G, Falcon C, de Echavarri-Gomez JMG, Sanchez-Benavides G, Brugulat-Serrat A, Mila-Aloma M, Blennow K, Zetterberg H, Molinuevo JL, Suarez-Calvet M, Gispert JD, study A (2023). Genotypic effects of APOE-epsilon4 on resting-state connectivity in cognitively intact individuals support functional brain compensation. Cereb Cortex 33:2748-2760.
- Greicius MD, Srivastava G, Reiss AL, Menon V (2004). Default-mode network activity distinguishes Alzheimer's disease from healthy aging: evidence from functional MRI. Proc Natl Acad Sci U S A 101:4637-4642.
- Perino MT, Myers MJ, Wheelock MD, Yu Q, Harper JC, Manhart MF, Gordon EM, Eggebrecht AT, Pine DS, Barch DM, Luby JL, Sylvester CM (2021). Whole-Brain Resting-State Functional Connectivity Patterns Associated With Pediatric Anxiety and Involuntary Attention Capture. Biol Psychiatry Glob Open Sci 1:229-238.
- Seguin C, Sporns O, Zalesky A (2023). Brain network communication: concepts, models and applications. Nat Rev Neurosci 24:557-574.
- Vogel JW, Corriveau-Lecavalier N, Franzmeier N, Pereira JB, Brown JA, Maass A, Botha H, Seeley WW, Bassett DS, Jones DT, Ewers M (2023). Connectome-based modelling of neurodegenerative diseases: towards precision medicine and mechanistic insight. Nat Rev Neurosci 24:620-639.
También te puede interesar
Artículos relacionados

Los organoides cerebrales: minicerebros para avanzar en la investigación del Alzheimer

¿Qué es la neuroplasticidad? La sorprendente flexibilidad del cerebro humano

